Bei Zahnfleischrückgang ist die ideale Therapie das Zurückbringen des Zahnfleisches, die sogenannte Rezessionsdeckung.
Nicht bei jeder Form des Zahnfleischrückganges ist die Rezessionsdeckung jedoch sinnvoll und dauerhaft erfolgreich. Oft betrifft das Bereiche an den Unterkieferfrontzähnen oder den Bereich von Implantaten.

Hauptziel ist in diesen Fällen, das Zahnfleisch in der aktuellen Höhe zu halten und dauerhaft zu stabilisieren. Ein weiter voranschreitender Zahnfleischrückgang und ein Verlust des Zahnes, der ohne fachgerechte Behandlung erfolgen wird, soll verhindert werden.
Hierzu wird in der Regel eigenes Zahnfleisch aus dem Bereich des Gaumens, seltener auch ein Ersatzmaterial, verwendet. Der Eingriff erfolgt vollkommen schmerzfrei. In den Folgetagen ist insbesondere der abgedeckte Wundbereich am Gaumen etwas empfindlich.

Diese Techniken haben den großen Vorteil, dass sie auch bei extremem Rückgang anwendbar sind, den Zahn sicher schützen und dazu eine sehr gute Prognose von fast 99% selbst über mehr als 30 Jahre haben.
Nachteilig wirkt sich hingegen aus, dass das Zahnfleisch nicht- oder nur wenig wieder „nach oben“ gebracht werden kann. Das verwendete Gewebe ist manchmal leicht blasser als das umliegende Zahnfleisch. Aus diesen beiden Gründen sind diese Techniken nicht für die gut sichtbare Oberkieferfront geeignet, stellen aber eine großartige Lösung für den Unterkiefer dar.

Die Kosten für eine solche Behandlung wird in der Regel nur von privaten Versicherungen übernommen und sind kein Bestandteil der gesetzlichen Gebührenordnung oder von privaten Zusatzversicherungen.

Das „wabbelige“ und oft entzündete Gewebe am Zahnfleischübergang wird vorsichtig gelöst und nach unten verschoben. Danach wird ein Transplantat aus dem Gaumen auf der freien Stelle festgenäht und wächst dort ein. Das Gaumengewebe bleibt ein Leben lang stabil.

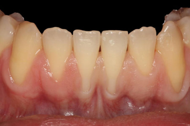
Deutliche Rezessionen vor Stabilisierung

Erfolgreiche Stabilisierung und weitgehende Deckung der Rezessionen